Gut bacteria found to regulate placenta paves way for probiotic pregnancy care
Key takeaways
- Gut bacterium B. breve regulates placental hormones, supporting fetal growth and reducing pregnancy complications.
- Testing a mother’s gut microbiome could help detect risks for gestational diabetes, preeclampsia, or miscarriage early in pregnancy.
- Probiotic interventions with B. breve may offer a safe, natural way to enhance placental function and improve outcomes for both mother and baby.

New research proves that the gut bacterium Bifidobacterium breve in pregnant women regulates the placenta’s hormone production, which is essential for a healthy pregnancy. It states that this is the first time scientists have shown this link.
Researchers at the University of Cambridge, UK, studied pregnant mice, and those lacking B. breve were seen to face higher complications, including fetal growth restriction, fetal low blood sugar, and increased fetal loss.
The publication in the Journal of Translational Medicine says the findings can enable identifying pregnancy complications like gestational diabetes, preeclampsia, or miscarriage early by testing the mother’s gut microbiome.
If mothers are found to lack B. breve, the researchers suggest this would indicate probiotic interventions to improve the chances of a healthy baby.

Phenomenal placenta
The placenta is an organ, enclosing the fetus and connecting it to the mother, which provides nutrients, oxygen, and hormones required for fetal development.
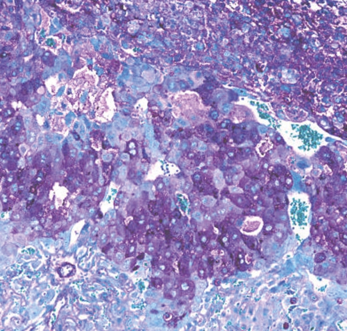
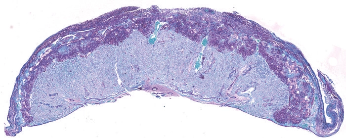
Mice with B. breve in their gut lost fewer of their pregnancies (Image credit: University of Cambridge).“Our results open up an entirely new way to assess the health of a pregnant mother and her developing fetus by looking at the mother’s gut microbiome,” says Dr. Jorge Lopez Tello, first author of the report, who carried out the work while at the University of Cambridge’s Department of Physiology, Development and Neuroscience.
“Everybody ignores the placenta — after nine months of pregnancy, it just gets thrown in the bin. But now we understand more about how it works. In the future, pregnancy complications like gestational diabetes, preeclampsia, miscarriage, and stillbirth might be prevented simply by adjusting the mother’s gut microbes to improve the function of the placenta.”
The mouse model study found that B. breve altered 150 biological processes, including 400 proteins, such as metabolism and cell cycle regulation.
Those with the bacteria lost fewer pregnancies, and their placenta was better able to absorb and transport nutrients, such as amino acids and lactate. The placenta also made other essential hormones, like prolactins and pregnancy-specific glycoproteins.
Human relevance?
The researchers explain that by having tight control over what the mice ate and their activity, they are sure their findings are not caused by other factors.
Over 150 biological processes in the placenta, involving over 400 different proteins, were found to be different in mice with and without B. breve (Image credit: University of Cambridge).They add that the B. breve’s importance in mice is as relevant to human pregnancies as the bacteria. It is naturally found in the human gut, but levels of the bacteria could alter in pregnant women due to stress or obesity.
However, they call for further research into how these “good” bacteria work in the human body’s full gut microbiome and if it is possible to manipulate the gut without negative effects.
B. breve is also widely available as a supplement and in probiotic drinks.
Promising therapeutic
Highlighting the importance of their findings for mothers, the researchers highlight that 10% of first-time mothers give birth to babies with low weight or have fetal restriction.
“Our research reveals a whole new layer of information about how pregnancy works and will help us find new interventions that can improve the chances of a healthy pregnancy for mother and baby,” comments senior author Professor Amanda Sferruzzi-Perri in the University of Cambridge’s Department of Physiology, Development and Neuroscience and St. John’s College.
Professor Lindsay Hall at the University of Birmingham’s College of Medicine and Health, who was also involved in the work, adds: “It’s exciting to think that beneficial microbes like Bifidobacterium, which naturally support gut and immune health, could be harnessed during pregnancy to improve outcomes.”
“Using something like a probiotic offers a promising alternative to traditional therapeutics, potentially reducing risks while enhancing well-being in mother and baby.”
In related news, Persephone Biosciences found that 76% of US infants’ gut microbiomes put them at risk for developing allergies, asthma, eczema, and dermatitis. Their study finds that a deficiency in Bifidobacteria, which thrives on human milk oligosaccharides, is the culprit. The company said it will launch a synbiotic to tackle this crisis.
In other applications, Morinaga Milk’s B. breve MCC1274 is specifically developed to target cognitive health and support optimal brain function.














